South Chicago
(773)978-1231
East Side
(773)978-5828
Calumet City
(708)862-2328
Munster
(219)836-8200
Evergreen Park
(708)425-1134
Oak Lawn
(708)425-9101
Crestwood
(708)388-4301
Menu
About
Meet The Staff
Community
Technology
Blog
Career Opportunities
Locations
South Chicago Office
East Side Chicago Office
Calumet City Office
Munster Office
Evergreen Park Office
Oak Lawn Office
Crestwood Office
Services
Cosmetic Dentistry
Smile Makeover
Teeth Whitening
Porcelain Veneers
Dental Bonding
Tooth Contouring & Reshaping
Invisalign
Surgical Dentistry
Dental Implants
Bone Grafting
Extractions
Cosmetic Gum Surgery
Maxillofacial Surgery
Restorative Dentistry
Fillings
Cleft Lip & Palate Repair
Inlays/Onlays
Crowns and Bridges
Dentures
Root Canal Therapy
Periodontal (Gum) Treatments
Oral Diagnosis and Biopsies
General Dentistry
Teeth Cleanings
Oral Cancer Screenings
Periodontal (Gum) Screenings
Dental Sealants
TMJ/TMD Treatment
Headache & Migraine Treatment
Preventive Dentistry
Emergency Dental Care
Snoring & Sleep Apnea Treatment
Mouthguards
Pediatric Dentistry
New Patient Info
Discount Plans
Insurance
Payment
Refer A Friend
Orthodontics FAQs
Dental Implants FAQs
Fillings FAQs
Root Canal Treatment FAQs
Dental Problems
Oral Health Topics
Dental Glossary
Reviews
Video testimonials
Patient Reviews
Photos & Videos
Before & After
Book Appointment
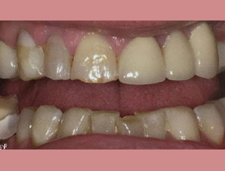
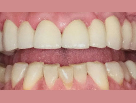
Before and After New
«
1
…
31
32
33
34
35
…
73
»
Close
Font Resize
A-
A+
Reset font size
Keyboard navigation
Readable Font
Contrast
Choose color
white
black
Underline links
Highlight Links
Reset
Invert Colors
Close
Accessibility by WAH
About
Meet The Staff
Community
Technology
Blog
Career Opportunities
Locations
South Chicago Office
East Side Chicago Office
Calumet City Office
Munster Office
Evergreen Park Office
Oak Lawn Office
Crestwood Office
Services
Cosmetic Dentistry
Smile Makeover
Teeth Whitening
Porcelain Veneers
Dental Bonding
Tooth Contouring & Reshaping
Invisalign
Surgical Dentistry
Dental Implants
Bone Grafting
Extractions
Cosmetic Gum Surgery
Maxillofacial Surgery
Restorative Dentistry
Fillings
Cleft Lip & Palate Repair
Inlays/Onlays
Crowns and Bridges
Dentures
Root Canal Therapy
Periodontal (Gum) Treatments
Oral Diagnosis and Biopsies
General Dentistry
Teeth Cleanings
Oral Cancer Screenings
Periodontal (Gum) Screenings
Dental Sealants
TMJ/TMD Treatment
Headache & Migraine Treatment
Preventive Dentistry
Emergency Dental Care
Snoring & Sleep Apnea Treatment
Mouthguards
Pediatric Dentistry
New Patient Info
Discount Plans
Insurance
Payment
Refer A Friend
Orthodontics FAQs
Dental Implants FAQs
Fillings FAQs
Root Canal Treatment FAQs
Dental Problems
Oral Health Topics
Dental Glossary
Reviews
Video testimonials
Patient Reviews
Photos & Videos
Before & After
Click to listen highlighted text!